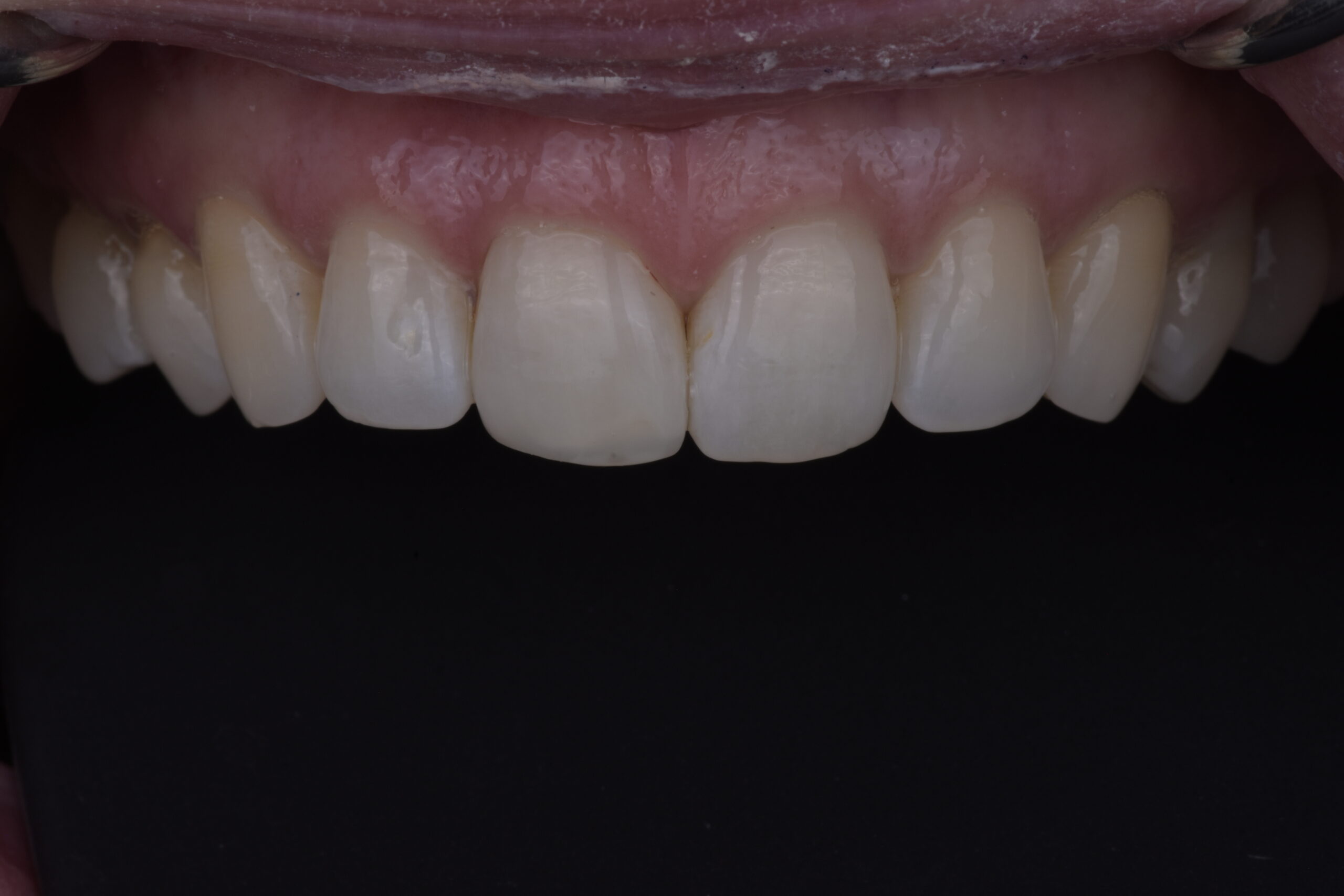
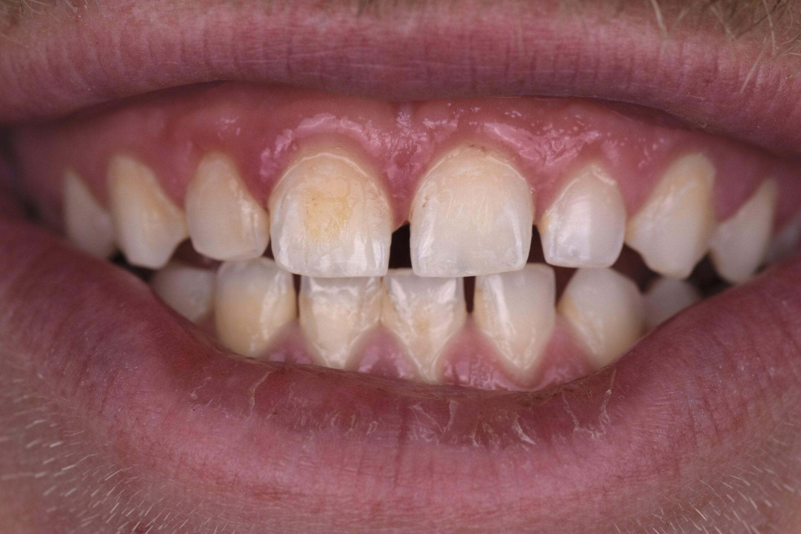
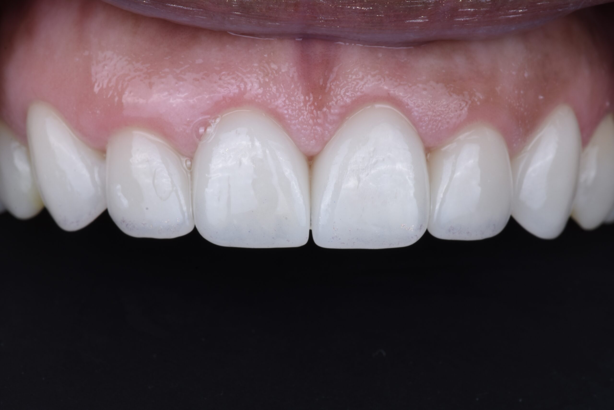
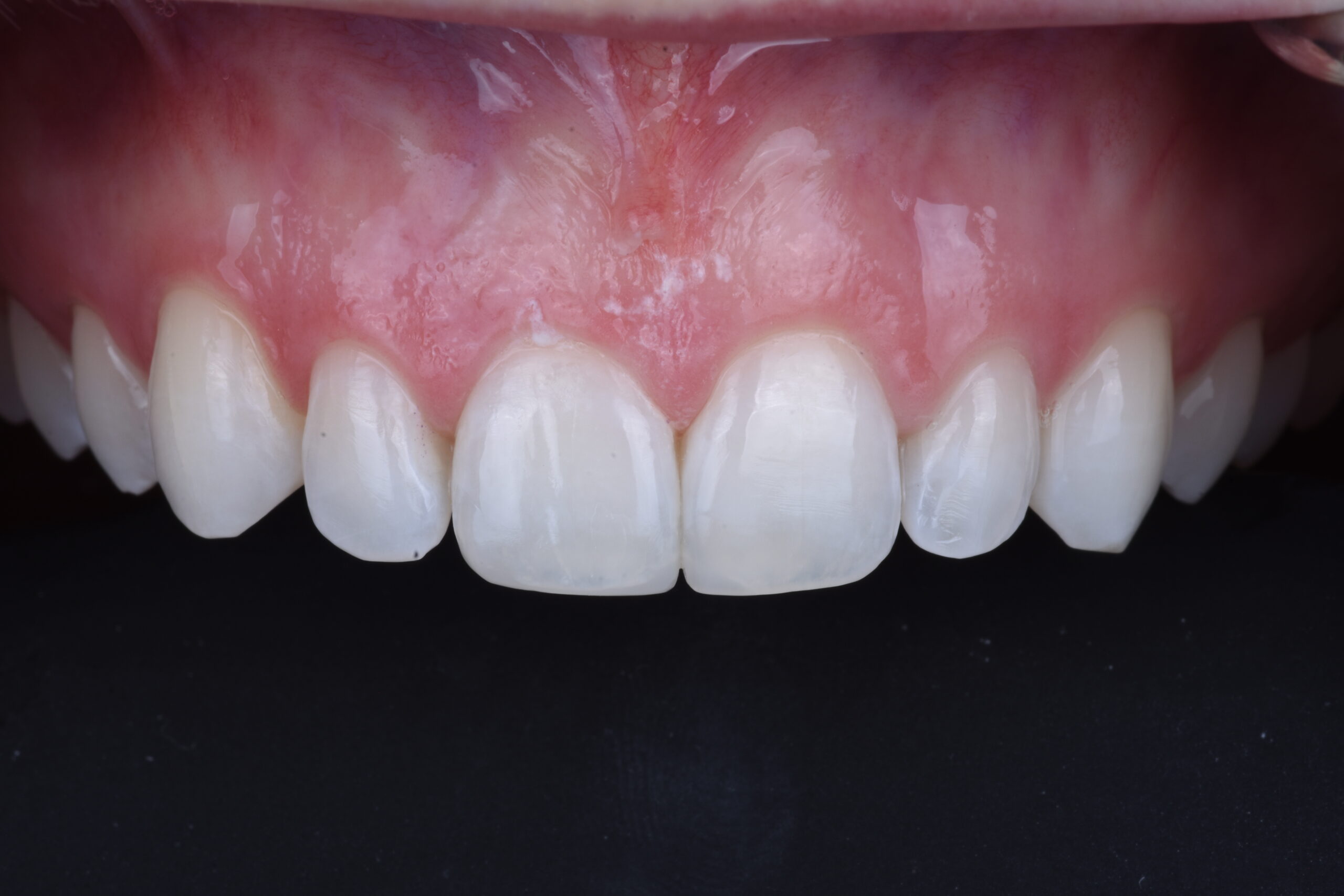
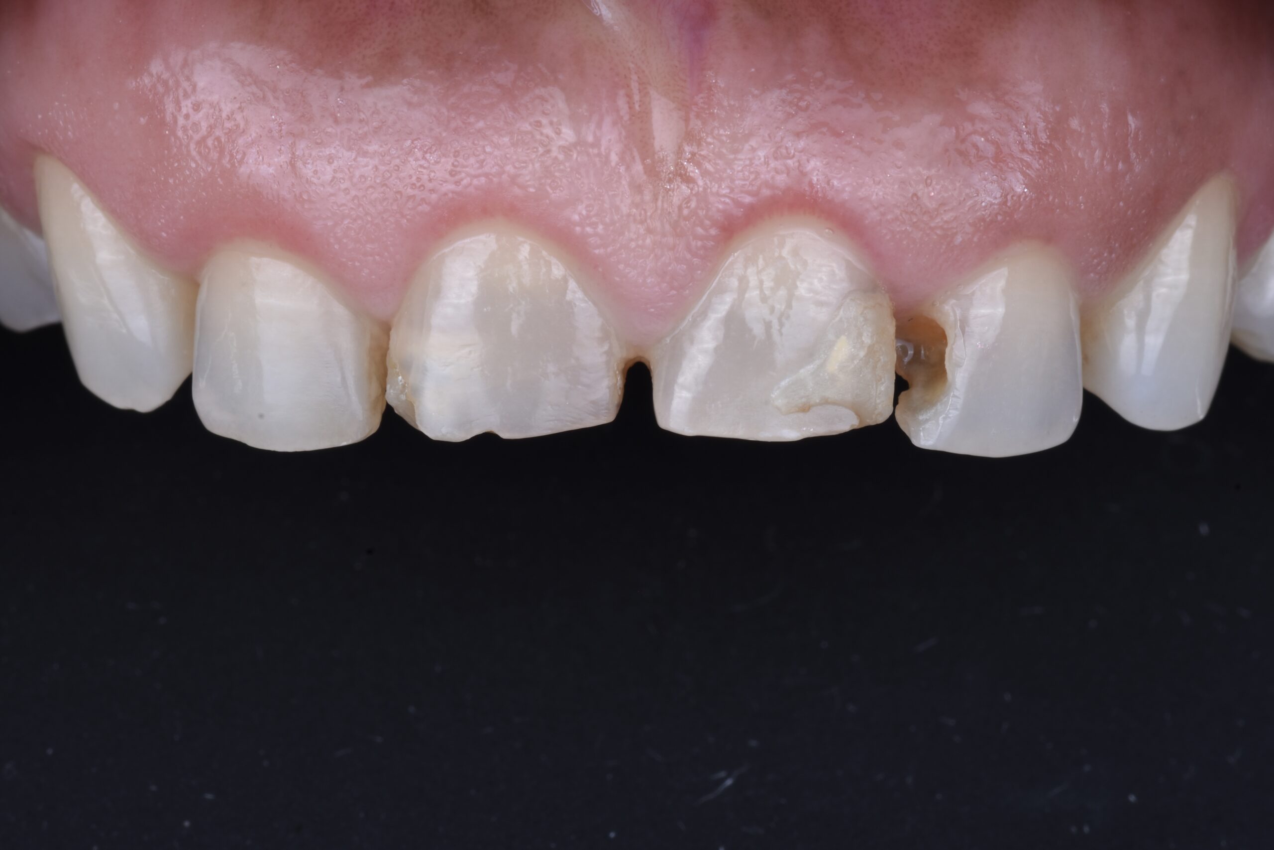
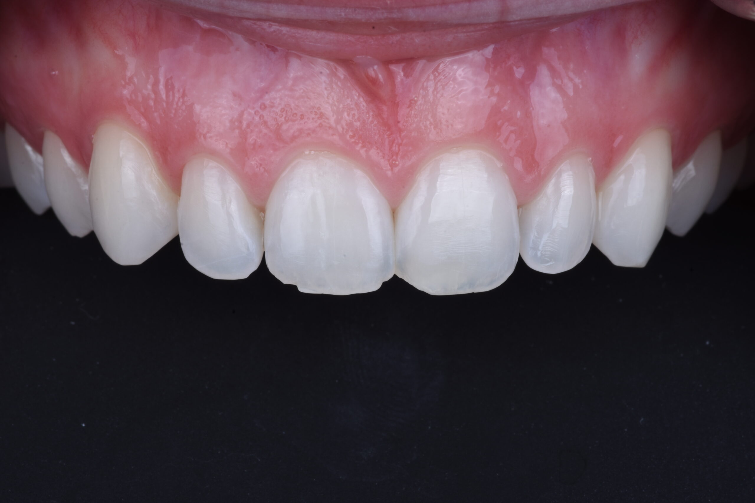
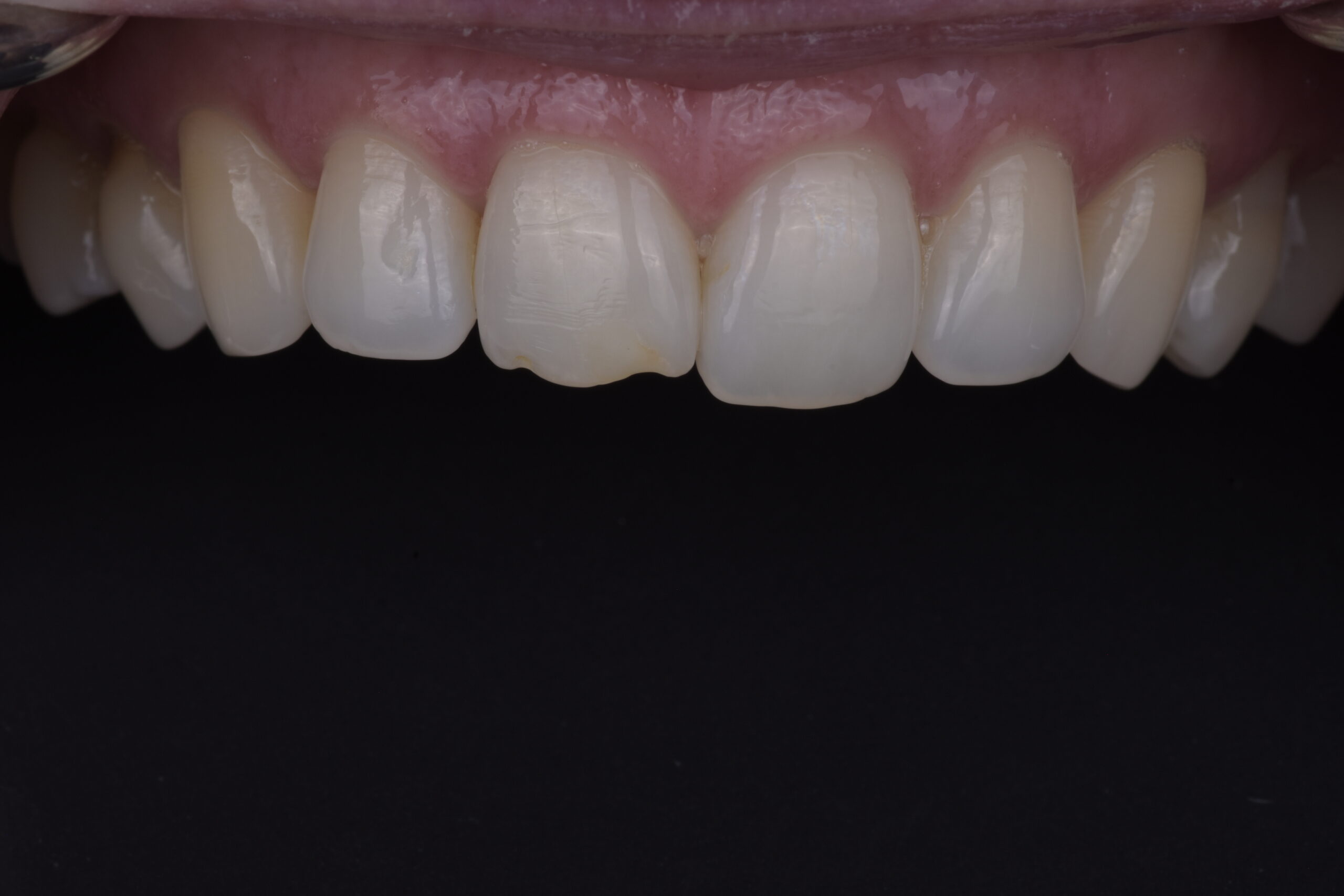
See how our patients in Lehi and Payson have transformed their smiles with veneers, whitening, implants, and more. Each before-and-after photo represents real results achieved through personalized, high-quality care from the Suncrest Dental team.
No two smiles — or people — are the same. That’s why every transformation at Suncrest Dental is completely personalized. From your first consult to your final reveal, we focus on creating a smile that fits your features, your lifestyle, and your personality.
We use advanced tools like 3D imaging, digital smile design, and same-day crowns to make your treatment precise and comfortable. You’ll see your results before they happen, and leave with a smile that looks amazing and feels natural.your treatment.
At Suncrest Dental, experience and artistry come together to deliver smiles you’ll love showing off. Whether you need veneers, whitening, or implants, our team takes the time to get it right, honest care, real results, and confidence that lasts.
“From kids to grandparents, we’re here for every smile. Call now to book your appointment.”
Posted on Nathan WattsAugust 29, 2025Trustindex verifies that the original source of the review is Google. Fantastic experience! Very friendly and they took time to explain what they were doing and why.Posted on Abby BodenAugust 28, 2025Trustindex verifies that the original source of the review is Google. Very friendly office and explained everything very well!Posted on Hilary VenemaAugust 27, 2025Trustindex verifies that the original source of the review is Google. I haven’t been to a dentist in close to 15 years, and I was embarrassed and afraid to admit that it had been so long since I’d seen a dentist. I ended up being forced to go when I had horrible tooth pain that resulted in a root canal. Dr. Dudley and the rest of the staff were so kind and welcoming and no one made me feel bad or judged at the state of my tooth health. Dr. Dudley set up a treatment plan for taking care of my most to least severe dental issues, and we were able to get everything taken care of over the course of a month. I have been recommending Suncrest Dental to anyone who I’ve talked to about dentistry and will continue to. Everyone that I’ve dealt with there has been amazing to work with. Thank you for such a pleasant dental experience!Posted on nathan larsonAugust 14, 2025Trustindex verifies that the original source of the review is Google. Had terrible tooth aches everyday from a cracked tooth, I called in and they got me an appointment within an hour of calling. From there, I got a root canal and crown both done that same day! It’s been a week since then and the pain has completely gone away. Excellent staff and great doctor!Posted on Jonathan BurtonAugust 5, 2025Trustindex verifies that the original source of the review is Google. Dr Egbert is fantastic! The staff are friendly. I can’t say enough about how great this dental office is. I drive more than an hour to go here…they are that good. Highly recommend them to anyone for your dental work.Posted on Kara MarcumJuly 31, 2025Trustindex verifies that the original source of the review is Google. Got me in quickly for a painful tooth, and the staff took great care of me during my root canal. Friendly office.Posted on Kirsten McAllisterJuly 29, 2025Trustindex verifies that the original source of the review is Google. I can't say enough good things about this dental office! From the moment you walk in, you're greeted by a warm, welcoming staff who genuinely make you feel at ease. Everyone is friendly, professional, and clearly committed to creating a positive experience for their patients. What really stands out is the level of care and attention to detail. The office is equipped with the latest technology, which not only makes appointments more efficient but also gives me confidence that I'm getting top-tier care. They take the time to explain procedures and make sure you're comfortable every step of the way. You can tell they truly appreciate their patients and go above and beyond to show it. Highly recommend to anyone looking for a dentist who combines expert care with genuine kindness!Posted on Deebs LaffertyJuly 15, 2025Trustindex verifies that the original source of the review is Google. This was my first time coming to Suncrest Dental. I was kindly greeted by Hailee and she made a great impression. My Hygenist was Sam and she was highly personable and thorough with my teeth cleaning, checking to make sure I was comfortable throughout the process. Lastly I was seen to by Dr. Dudley, who was sure to answer all of my questions and set expectations for future visits. This was easily my best experience at the dentist and I certainly appreciate their professionalism and efficacy. 5/5 Stars!Posted on Lyssa McphieJune 12, 2025Trustindex verifies that the original source of the review is Google. Fantastic team here at Suncrest dental. They were very knowledgeable, comforting, and friendly. Felt listened to, and acknowledged, which you don’t get much anymore. 10/10 Will be back again.Posted on Kiana SchlenkerJune 3, 2025Trustindex verifies that the original source of the review is Google. Suncrest Dental was amazing! The staff is so friendly and very thorough. I was very happy with my service & will be going to them again!
Suncrest © 2024. All Right Reserved.